
Psoriasis ist eine chronische Hauterkrankung, die durch einen wellenförmigen Verlauf gekennzeichnet ist. Am häufigsten äußert sich Psoriasis als spezifische Hautläsion, die sich in jedem Hautbereich befinden kann.
Eine anfängliche Psoriasis kann nicht immer sofort erkannt werden. Dies ist jedoch möglich, wenn rechtzeitig auf die charakteristischen Symptome geachtet wird. Wenn Sie rechtzeitig einen Hautarzt aufsuchen, können Sie die Entwicklung des Ausschlags verlangsamen und stoppen. Daher ist es wichtig zu wissen, welche Anzeichen auf das Vorliegen einer Pathologie hinweisen.
Ursachen von Psoriasis. Anfangsphase
Zu diesem Thema liegen keine verlässlichen Daten vor. Psoriasis ist keine vollständig erforschte Krankheit. Es gibt jedoch bekannte Faktoren, die zu seinem Erscheinungsbild beitragen können:
- genetische Veranlagung (unter den häufigsten Faktoren);
- Funktionsstörung des Immunsystems (verursacht oft auch das Auftreten von Psoriasis);
- endokrine Probleme;
- kürzliche Streptokokken-Infektion (Halsschmerzen)
- das Vorhandensein chronischer Krankheiten (insbesondere entzündlicher);
- schlechte Gewohnheiten wie Alkohol- und Zigarettensucht;
- häufiger Stress.
Psoriasis kann bei Menschen jeden Geschlechts und Alters auftreten. Allerdings sind Menschen über 25 bis 30 Jahre häufiger davon betroffen.
Symptome des Anfangsstadiums
Bei Psoriasis im Anfangsstadium sind die Symptome mild. Sie können sie jedoch bemerken.
Um zu verstehen, wie Schuppenflechte entsteht, sollten Sie auf die folgenden typischen Symptome achten:
- Erhöhte Trockenheit und Peeling der Haut. Eine Person verspürt Beschwerden in der Haut der Ellbogen, Knie, des unteren Rückens und der Kopfhaut. Diese Bereiche können jedoch von Fall zu Fall unterschiedlich sein.
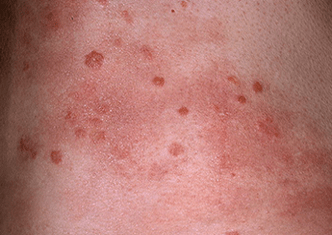
- Vorhandensein spezifischer Eruptionen. Typisch für Psoriasis sind kleine, rosarote Papeln (flache, leicht erhabene Ausschlagelemente über dem Hautniveau) mit klaren Grenzen, die allmählich ineinander übergehen.
- Schuppen auf der Oberfläche des Ausschlags. Sie haben eine silberne oder weißliche Farbe. Sie lassen sich leicht von Hautausschlägen entfernen, dies kann jedoch zur Bildung von Rissen oder zum Auftreten unangenehmer subjektiver Empfindungen führen.
Bei einigen Arten von Psoriasis („pustelartig“) erscheint der Ausschlag möglicherweise nicht in Form von Flecken, sondern in Form kleiner konvexer Formationen mit eitrigem Inhalt im Inneren. Auf dem Foto der Ausgangsform der Psoriasis können Sie sehen, wie sich die verschiedenen Formen der Psoriasis und ihre Symptome äußern.
Bei der Nagelpsoriasis betrifft der Ausschlag hauptsächlich die Plaque. In diesem Fall sind die ersten Anzeichen die folgenden:
- die Bildung kleiner Vertiefungen in den Nägeln (das „Fingerhut“-Symptom)
- Veränderungen in der Struktur der Nagelplatte: Der Nagel wird dicker und brüchig
- Veränderung der Farbe der Nagelplatte: Der Nagel kann einen Gelbstich annehmen, unter dem Nagel erscheinen orangerote Flecken
- Verdickung der Haut unter dem Nagel;
- Lockerheit und Abblättern der Platte (nicht immer);
- kleine dunkle Längslinien unter der Nagelplatte (unspezifisches Symptom, resultierend aus einer Blutung unter der Nagelplatte)
- Rötung des Nagellochs.
Fotos der Symptome im Anfangsstadium der Psoriasis helfen Ihnen dabei, sich besser zurechtzufinden.
Die ersten Symptome sind recht vage und machen sich nicht deutlich bemerkbar. Darüber hinaus ähneln sie den Symptomen einiger anderer dermatologischer Erkrankungen, was die Diagnose erschweren kann. Aus diesem Grund ist es äußerst wichtig, sofort einen Termin im Krankenhaus zu vereinbaren, um eine genauere Diagnose zu erhalten.
Alle Stadien der Psoriasis
Es gibt drei Schlüsselstadien in der Entwicklung der Krankheit:
- Anfangs- oder progressives Stadium. Auf der Haut bilden sich zahlreiche kleine Papeln. Ein charakteristisches Merkmal dieses Krankheitsstadiums ist das Auftreten von Hautausschlägen in Bereichen mit kürzlich aufgetretenen Hautverletzungen; Auf dem Foto können Sie sehen, wie Psoriasis im Anfangsstadium aussieht.
- Stationär. Die Ausschläge nehmen an Größe zu und beginnen miteinander zu verschmelzen und bilden große Plaques mit unklaren Umrissen. Es treten keine neuen Elemente des Ausschlags auf, es bilden sich jedoch zahlreiche Schuppen auf der Oberfläche des Ausschlags.
- Ende. Der Ausschlag lässt nach und verschwindet allmählich von selbst. Es kann zu einer leichten Pigmentierung kommen, die mit der Zeit von selbst verblasst, oder zu einem Bereich, der im Vergleich zur umgebenden gesunden Haut heller ist.

Oft stellt sich die Frage: „Juckt Schuppenflechte im Anfangs- und Spätstadium?“ Bei Psoriasis ist Juckreiz ein uncharakteristisches Symptom; es existiert möglicherweise nicht.
Bei jeder Exazerbation durchläuft die Krankheit der Reihe nach alle drei Stadien. Wenn die Behandlung jedoch zu Beginn des ersten Stadiums begonnen wird, kann ein Fortschreiten des Ausschlags verhindert werden.
Bei den meisten Menschen treten die Symptome zyklisch auf. Normalerweise bestehen sie beim nächsten Ausbruch mehrere Wochen lang und werden dann allmählich schwächer und verschwinden. Die Form der frühen Psoriasis bestimmt, wie die Fotos und tatsächlichen Symptome aussehen
Behandlung des Anfangsstadiums der Psoriasis.
Wenn Sie die ersten verdächtigen Anzeichen bemerken, sollten Sie einen Dermatologen kontaktieren.
Psoriasis im Frühstadium erfordert nur eine minimale medikamentöse Behandlung. Hauptsächlich äußerlich.
Typischerweise verwendet:
- Nicht-hormonelle Salben und Cremes. Sie stellen die Grundlage der Therapie dar, da sie in jedem Krankheitsstadium, auch während der Remission, eingesetzt werden können. Sie wirken sanft und haben oft keine Nebenwirkungen. Sie lindern Peeling, Rötungen, subjektive Empfindungen und verlangsamen entzündliche Prozesse.
- Hormonelle Salben und Cremes. Im Anfangsstadium der Erkrankung werden sie in der Regel bei schweren Entzündungen oder einer besonderen Form der Psoriasis (exsudativ) eingesetzt. Diese Medikamente können Entzündungen im betroffenen Hautbereich schnell bekämpfen. Allerdings sind hormonelle Salben und Cremes nicht für die Daueranwendung geeignet, da es bei längerer Anwendung zu Nebenwirkungen kommen kann. Fotos zeigen am besten, in welchem Ausmaß die Psoriasis sowohl bei Erwachsenen als auch bei Kindern beginnt.
- Gele und Feuchtigkeitscremes. Beruhigt und macht die Haut weich. Es kann als zusätzliche Pflege verwendet werden.
- Vitaminkomplexe. Eine zusätzliche Maßnahme zur Unterstützung der Kraft und Widerstandskraft des Körpers gegen Krankheiten. Vitamin A wird vor allem bei Psoriasis eingesetzt, da es die Zellteilung der Hautzellen und den Prozess der Schuppenbildung beeinflusst. Im fortschreitenden Krankheitsstadium werden Multivitaminkomplexe in der Regel nicht verschrieben.
- Physiotherapeutische Verfahren. Besonders wirksam in der Anfangsphase. Am häufigsten wird eine Phototherapie (UVB oder PUVA) sowie die Exposition gegenüber Excimeren von UV-Strahlen und Lasern verschrieben.
In den meisten Fällen werden Medikamente vom Arzt verschrieben. Mehrere Medikamente können in Kombination eingesetzt werden. Bei milden Krankheitszeichen kann auf orale Medikamente verzichtet und nur äußerlich angewendete nicht-hormonelle Präparate eingesetzt werden.
Prävention des Anfangsstadiums der Psoriasis.
Vorbeugende Maßnahmen tragen dazu bei, die Manifestationen der Krankheit zu verzögern und so die Remissionsdauer zu verlängern. Wenn Sie die Präventionsregeln direkt während eines Anfalls befolgen, können diese dazu beitragen, die Symptome zu lindern und die Genesung zu beschleunigen.
Wichtige vorbeugende Maßnahmen sind:
- Beseitigung von Stress. Oder seine Minimierung. Stress verändert die Funktion des Nervensystems erheblich, was den Allgemeinzustand des Körpers ernsthaft beeinträchtigt. Um mit Ihrer emotionalen Verfassung besser zurechtzukommen, können Sie sich für einen Psychotherapiekurs anmelden. Der Unterricht kann einzeln oder in Gruppen stattfinden.
- Diät. Die Ernährung muss gesund und ausgewogen sein und hypoallergene Lebensmittel enthalten. Die Grundlage des Menüs bilden Eiweiß, rohes Gemüse und fermentierte Milchprodukte. Sie sollten Junkfood wie Süßigkeiten und Backwaren meiden. Auch frittierte und geräucherte Speisen, scharfe und übermäßig salzige Speisen sowie Konserven sind nicht erwünscht. Im Internet finden Sie Fotos von Psoriasis zu Beginn der Erkrankung und nach einer Diät.
- Trinken Sie viel Flüssigkeit. Normalerweise wird empfohlen, täglich zwischen 1,5 und 2 Liter gereinigtes Wasser zu trinken. Es ist jedoch wichtig, sich auf Ihre Gefühle zu konzentrieren und Empfehlungen nicht blind zu folgen.
- Vitaminkomplexe. Es ist ratsam, nach Untersuchungen Vitamine von einem Arzt verschreiben zu lassen.
- Modus. Essen, Aufwachen und Schlafengehen sollten einem Zeitplan folgen. Dies erleichtert dem Körper die Aufrechterhaltung einer ausreichenden Aktivität. Es empfiehlt sich, früh aufzustehen und zu Bett zu gehen.
- Frische Luft. Es ist wichtig, jeden Tag im Freien spazieren zu gehen. Es reduziert Stress und ist allgemein wohltuend für den Körper.
- Hautpflege. Es lohnt sich, regelmäßig erweichende und feuchtigkeitsspendende Cremes zu verwenden. Besonders nach Wasserbehandlungen.
- Bequeme Kleidung und Schuhe. Hergestellt aus weichen Naturmaterialien. Die Schuhe sollten gut passen und die Kleidung sollte locker sein.
- Regelmäßige Konsultationen mit einem Arzt. Und Prüfungen. Dies wird Ihnen helfen, den Zustand Ihres Körpers zu überwachen und die Wahrscheinlichkeit zu erhöhen, Psoriasis vorzubeugen.
So zeigen Fotos der Symptome der Hautpsoriasis im Anfangs- und Spätstadium deutlich die Beschwerden dieser Krankheit. Daher lohnt es sich, sich um die Prävention zu kümmern.
Es ist wichtig zu bedenken, dass sich Psoriasis in den allermeisten Fällen als Folge von starkem Stress manifestiert. Daher ist es zunächst wichtig, für eine harmonische Stimmung und einen Tagesablauf zu sorgen.

















